Lompat ke konten Lompat ke sidebar Lompat ke footer

Zahnfleisch Brennt Und Geht Zurück

Geht Mein Zahnfleisch Zuruck Zahne Zahnfleischruckgang

Geht Mein Zahnfleisch Zuruck Zahne Zahnfleischruckgang

Zahnfleisch brennt und geht zurück. Wenn du das zahnfleisch richtig schrubbst blutet es. Im Alter zwischen 20 und 29 Jahre haben die meisten erkannt dass. Sonstige Ursachen für zurückgehendes Zahnfleisch.

Gehst du mit der bürste richtig ans zahnfleisch ran. Es ist die ersten 2-3 Stunden nach dem Aufstehen viel geringer. 2 Tage war alles gutdanach fing das Zahnfleisch über den 4.

Die meisten Patienten erkennen selbst den Zahnfleischrückgang beispielsweise durch emofindliche Zahnhälse. Wenm das Zahnfleisch rot ist so wie bei mir kann es eine Infektion sein. Wenn nicht dann etwas anderes.

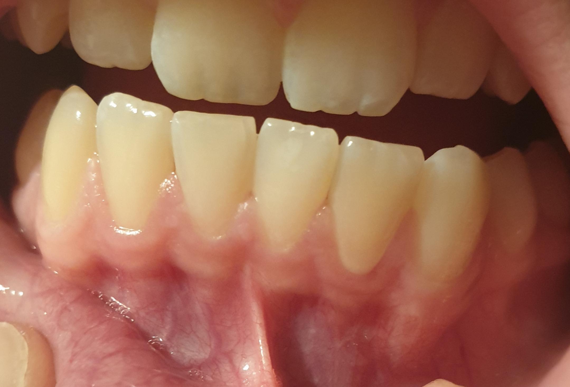
Es ist ja normal dass bei so einer Behandlung das Zahnfleisch anfängt zu bluten an manchen Stellen aber bei mir hat die Blutung immer noch nicht aufgehört es brennt wie verrückt. So weit wie ich auf dem Foto sehen kann hast Du vor allem ein Problem an den unteren Eckzähnen. Zahnfleischentzündungen entstehen durch im Mundraum vorkommende krankmachende Bakterien die meist auf eine schlechte Mundhygiene zurückzuführen sind.

Die häufigsten Ursachen für die Entstehung von Parodontose. Wie putzt du die zähne. Es wird vorher noch betäubt.

Eine unbehandelte Zahnfleischentzündung auch Gingivitis genannt ist meist der Auslöser dafür wenn Ihr Zahnfleisch zurück geht. Hallo ich hab vor über 4 Wochen die 4 Frontzähne oben abgeschliffen bekommen um sie überkronen zu lassen. Dazu kommt es beispielsweise durch.

Mein Zahnarzt hat mir mit einer Spritze So ein gel unter mein Zahnfleisch gespritzt. Wird eine Gingivitis nicht rechtzeitig behandelt kann es zur Paradontitis kommen.

Zahnfleischruckgang Ihr Zahnfleisch Geht Zuruck Das Sollten Sie Tun

Zahnfleischruckgang Ihr Zahnfleisch Geht Zuruck Das Sollten Sie Tun

Zahnfleisch Geht Zuruck Warum Und Was Machen Zahne Zahnarzt Behandlung

Zahnfleisch Geht Zuruck Warum Und Was Machen Zahne Zahnarzt Behandlung

Zahnfleischruckgang Ihr Zahnfleisch Geht Zuruck Das Sollten Sie Tun

Zahnfleischruckgang Ihr Zahnfleisch Geht Zuruck Das Sollten Sie Tun

Warum Geht Das Zahnfleisch Zuruck Interview Mit Zahnarzt Dr Klein Bambus Zahnbursten Bio Zahnpflege Online Kaufen

Warum Geht Das Zahnfleisch Zuruck Interview Mit Zahnarzt Dr Klein Bambus Zahnbursten Bio Zahnpflege Online Kaufen

Zahnfleischentzundung Rot Wie Angegriffenes Zahnfleisch Stern De

Zahnfleischentzundung Rot Wie Angegriffenes Zahnfleisch Stern De

Rot Am Zahnfleisch Geht Nicht Weg Was Los Zahne

Rot Am Zahnfleisch Geht Nicht Weg Was Los Zahne

Zahnfleischentzundung Gingivitis Ursachen Symptome Behandlung

Zahnfleischentzundung Gingivitis Ursachen Symptome Behandlung

Warum Geht Das Zahnfleisch Zuruck Interview Mit Zahnarzt Dr Klein Bambus Zahnbursten Bio Zahnpflege Online Kaufen

Warum Geht Das Zahnfleisch Zuruck Interview Mit Zahnarzt Dr Klein Bambus Zahnbursten Bio Zahnpflege Online Kaufen

Ist Mein Zahnfleisch Gesund Oder Nicht Gesundheit Und Medizin Gesundheit Zahne

Ist Mein Zahnfleisch Gesund Oder Nicht Gesundheit Und Medizin Gesundheit Zahne

Zahnfleischruckgang Ihr Zahnfleisch Geht Zuruck Das Sollten Sie Tun

Zahnfleischruckgang Ihr Zahnfleisch Geht Zuruck Das Sollten Sie Tun

Ratgeber Was Sind Die Ursachen Fur Geschwollenes Zahnfleisch 2021

Ratgeber Was Sind Die Ursachen Fur Geschwollenes Zahnfleisch 2021

Zahnfleischruckgang Stoppen Was Tun Bei Zahnfleischschwund

Zahnfleischruckgang Stoppen Was Tun Bei Zahnfleischschwund

Zahnfleisch Entzundung Kann Die Ursache Fur Zahnfleisch Ruckgang Sein Es Gibt Behandlungen Und Zahnfleischtransplantationen Als Moglichkeit Der Therapie Dentalnews

Zahnfleisch Entzundung Kann Die Ursache Fur Zahnfleisch Ruckgang Sein Es Gibt Behandlungen Und Zahnfleischtransplantationen Als Moglichkeit Der Therapie Dentalnews

Achtung Zahnfleisch Geht Zuruck Dunkle Rander An Zahnkronen

Achtung Zahnfleisch Geht Zuruck Dunkle Rander An Zahnkronen

Parodontose Fragen

Parodontose Fragen

Parodontose Parodontitis Symptome Ursachen Behandlung Pflege De

Parodontose Parodontitis Symptome Ursachen Behandlung Pflege De

Stomatitis Mundfaule Ursachen Symptome Behandlung

Stomatitis Mundfaule Ursachen Symptome Behandlung

Geschwollenes Zahnfleisch Ecdi

Geschwollenes Zahnfleisch Ecdi

Zahnfleischruckgang Anzeichen Behandlung Folgen Netdoktor

Zahnfleischruckgang Anzeichen Behandlung Folgen Netdoktor

Erfahrungen Zu Pyralvex 10 Milliliter Medpex Versandapotheke

Erfahrungen Zu Pyralvex 10 Milliliter Medpex Versandapotheke

9 Hausmittel Gegen Entzundetes Zahnfleisch

9 Hausmittel Gegen Entzundetes Zahnfleisch

Parodontose Fragen

Parodontose Fragen

Ratgeber Was Sind Die Ursachen Fur Geschwollenes Zahnfleisch 2021

Ratgeber Was Sind Die Ursachen Fur Geschwollenes Zahnfleisch 2021

1

1

Zahnfleisch Und Mundschleimhautbeschwerden

Zahnfleisch Und Mundschleimhautbeschwerden

Mundkrankheiten Diese Bilder Helfen Beim Erkennen

Mundkrankheiten Diese Bilder Helfen Beim Erkennen

Zahnfleischruckgang Ursache Symptome Behandlung Dentolo

Zahnfleischruckgang Ursache Symptome Behandlung Dentolo

Zysten Im Zahnfleisch Oder Kiefer Was Tun

Zysten Im Zahnfleisch Oder Kiefer Was Tun

Zahnfleischruckgang Stoppen Was Tun Bei Zahnfleischschwund

Zahnfleischruckgang Stoppen Was Tun Bei Zahnfleischschwund

Wechseljahre Was Die Hormone Im Mund Anrichten Konnen Welt

Wechseljahre Was Die Hormone Im Mund Anrichten Konnen Welt

Zahnfleischruckgang Hilfe Gesundheit Medizin Arzt

Zahnfleischruckgang Hilfe Gesundheit Medizin Arzt

Zahnfleischruckgang Ihr Zahnfleisch Geht Zuruck Das Sollten Sie Tun

Zahnfleischruckgang Ihr Zahnfleisch Geht Zuruck Das Sollten Sie Tun

Zahnfleischentzundung An Der Brucke Was Kann Ich Tun Jameda

Zahnfleischentzundung An Der Brucke Was Kann Ich Tun Jameda

Mundschleimhaut Und Zahnfleischentzundung Vitanet De

Mundschleimhaut Und Zahnfleischentzundung Vitanet De

Was Tun Bei Zahnfleischruckgang Die Ursachen Uvm

Was Tun Bei Zahnfleischruckgang Die Ursachen Uvm

Vor Und Nachteile Der Zirkonkronen

Vor Und Nachteile Der Zirkonkronen

Faq Haufige Fragen Zu Zahnfleisch Listerine

Faq Haufige Fragen Zu Zahnfleisch Listerine

Wenn S Schmerzhaft Brennt Im Mund

Wenn S Schmerzhaft Brennt Im Mund

Mundschleimhautentzundung Stomatitis Meine Gesundheit

Mundschleimhautentzundung Stomatitis Meine Gesundheit

Mundkrankheiten Diese Bilder Helfen Beim Erkennen

Mundkrankheiten Diese Bilder Helfen Beim Erkennen

Zahnfleischbluten Ursachen Vorbeugung Behandlung Netdoktor

Zahnfleischbluten Ursachen Vorbeugung Behandlung Netdoktor

Parodontose Parodontitis Symptome Ursachen Behandlung Pflege De

Parodontose Parodontitis Symptome Ursachen Behandlung Pflege De

Zahnfleischschwund Ursachen Und Behandlung

Zahnfleischschwund Ursachen Und Behandlung

Krebs Der Mundhohle Risikofaktoren Und Anzeichen Patienten Information De

Krebs Der Mundhohle Risikofaktoren Und Anzeichen Patienten Information De

Il Legale Drogen Kryptonit Fur Zahne Und Zahnfleisch Zwp Online Das Nachrichtenportal Fur Die Dentalbranche

Il Legale Drogen Kryptonit Fur Zahne Und Zahnfleisch Zwp Online Das Nachrichtenportal Fur Die Dentalbranche

Achtung Zahnfleisch Geht Zuruck Dunkle Rander An Zahnkronen

Achtung Zahnfleisch Geht Zuruck Dunkle Rander An Zahnkronen

Eiter Am Zahnfleisch Ursachen Und Behandlung Focus De

Eiter Am Zahnfleisch Ursachen Und Behandlung Focus De

Schmerzen Nach Wurzelkanalbehandlung Wie Lange Normal Jameda

Schmerzen Nach Wurzelkanalbehandlung Wie Lange Normal Jameda

1

1

Wenn du das zahnfleisch richtig schrubbst blutet es.

Es ist die ersten 2-3 Stunden nach dem Aufstehen viel geringer. Wie putzt du die zähne. Es wird vorher noch betäubt. Zahnfleisch geht schneller züruck durch Alkohol Rauchen Stress und ungesunde Ernährung. Dazu kommt es beispielsweise durch. Wenm das Zahnfleisch rot ist so wie bei mir kann es eine Infektion sein. Sonstige Ursachen für zurückgehendes Zahnfleisch. Zieht sich das Zahnfleisch ohne Entzündung zurück spricht man von einer Gingivarezession. Mein Zahnarzt hat mir mit einer Spritze So ein gel unter mein Zahnfleisch gespritzt.


Zieht sich das Zahnfleisch ohne Entzündung zurück spricht man von einer Gingivarezession. In dessen Folge wird das Zahnfleisch schlechter durchblutet und es kommt letztlich zur Zahnfleischrezession. Die beiden danebenliegenden Zähne haben wahrscheinlich die Zahnhälse freiliegen. In der Folge kann entzündetes Zahnfleisch auch zu Herz-Kreislauf-Erkrankungen wie einem Herzinfarkt führen. Zahnfleischentzündungen entstehen durch im Mundraum vorkommende krankmachende Bakterien die meist auf eine schlechte Mundhygiene zurückzuführen sind. Hallo ich hab vor über 4 Wochen die 4 Frontzähne oben abgeschliffen bekommen um sie überkronen zu lassen. Zahnfleisch geht schneller züruck durch Alkohol Rauchen Stress und ungesunde Ernährung.

Posting Komentar untuk "Zahnfleisch Brennt Und Geht Zurück"