Lompat ke konten Lompat ke sidebar Lompat ke footer

Polycystic Kidney Disease Histology

Adult Polycystic Kidney Disease American Urological Association

Adult Polycystic Kidney Disease American Urological Association

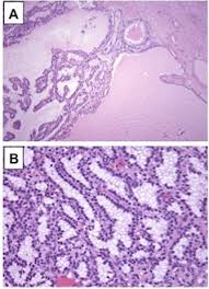
Polycystic kidney disease histology. Patients had either serum creatinine SCr below 350 mumolliter N 12 or terminal renal failure N 50. Minority of cases gene unmapped OMIM 600666 10 lack a family history and are considered new mutations. ADPKD may associate some other extrarenal abnormalities such as.

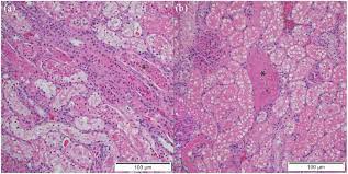
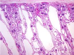
Renal specimens were obtained at surgery or postmortem from patients with autosomal dominant polycystic kidney disease ADPKD. The abnormalities that develop in this disease vary greatly and there are no disease-specific treatments at this time. Polycystic kidney adult type is a manifestation of autosomal dominant polycystic kidney disease caused by mutations in genes on chromosome 16p133 PKD1 - producing protein Polycystin 1 and 4q21 PKD2 - Polycystin 2.

Polycystic kidney disease PKD a common genetic cause of chronic renal failure is characterized by accumulation of fluid filled cysts in the kidney and other organs. ARPKD is relatively uncommon and occurs primarily in neonates and children. From Wikipedia the free encyclopedia Autosomal dominant polycystic kidney disease ADPKD is the most prevalent potentially lethal monogenic human disorder.

Mutations in PKHD1 gene Polycystic Kidney and Hepatic Disease 1 produces fibrocystin polyductin at 6p12 expressed in kidney pancreas and liver Braz J. PKD can be inherited as an autosomal recessive ARPKD or autosomal dominant trait ADPKD. Renal histology in polycystic kidney disease with incipient and ad-vanced renal failure.

Epedemiology 125 million people in the world 3. In 68 of the cats presented with polycystic kidneys there were also cystic changes of the liver uni- or multilocular cysts andor congenital hepatic fibrosis CHF. Histopathology Kidney--Adult polycystic disease About Press Copyright Contact us Creators Advertise Developers Terms Privacy Policy Safety How YouTube works Test new features 2021 Google LLC.

PKD2 gene on 4q13-23 altered in 10 of cases produces polycystin 2. Polycystic kidney disease abbreviated PKD may refer to a number of conditions in the kidney characterized by cysts. Renal specimens were obtained at surgery or postmortem from patients with autosomal dominant polycystic kidney disease ADPKD.

Polycystic Kidney disease 1. Pathology Outlines Autosomal Dominant Polycystic Kidney.

Adult Polycystic Kidney Disease American Urological Association

Adult Polycystic Kidney Disease American Urological Association

Autosomal Dominant Polycystic Kidney Disease Libre Pathology

Autosomal Dominant Polycystic Kidney Disease Libre Pathology

Renal Pathology

Renal Pathology

Polycystic Kidney In A Pig Sesc Historial De Consultes

Polycystic Kidney In A Pig Sesc Historial De Consultes

An Example Of Glomerulocystic Disease In A Child With Autosomal Download Scientific Diagram

An Example Of Glomerulocystic Disease In A Child With Autosomal Download Scientific Diagram

Autosomal Recessive Polycystic Kidney Disease American Urological Association

Autosomal Recessive Polycystic Kidney Disease American Urological Association

Pkd1 Associated Autosomal Dominant Polycystic Kidney Disease With Glomerular Cysts Presenting With Nephrotic Syndrome Caused By Focal Segmental Glomerulosclerosis Bmc Nephrology Full Text

Pkd1 Associated Autosomal Dominant Polycystic Kidney Disease With Glomerular Cysts Presenting With Nephrotic Syndrome Caused By Focal Segmental Glomerulosclerosis Bmc Nephrology Full Text

Polycystic Kidney Diseases Humpath Com Human Pathology

Polycystic Kidney Diseases Humpath Com Human Pathology

Polycystic Kidney Disease Nature Reviews Disease Primers

Polycystic Kidney Disease Nature Reviews Disease Primers

From The Radiologic Pathology Archives Pediatric Polycystic Kidney Disease And Other Ciliopathies Radiologic Pathologic Correlation Radiographics

From The Radiologic Pathology Archives Pediatric Polycystic Kidney Disease And Other Ciliopathies Radiologic Pathologic Correlation Radiographics

Renal Cystic Disease

Renal Cystic Disease

6482i01

6482i01

Autosomal Dominant Polycystic Kidney Disease Adpkd Pathology Residency And Fellowship Program Brown University

Autosomal Dominant Polycystic Kidney Disease Adpkd Pathology Residency And Fellowship Program Brown University

Lkb1 Deficiency Confers Glutamine Dependency In Polycystic Kidney Disease Nature Communications

Lkb1 Deficiency Confers Glutamine Dependency In Polycystic Kidney Disease Nature Communications

Polycystic Kidney Disease In Sprague Dawley Rats Sciencedirect

Polycystic Kidney Disease In Sprague Dawley Rats Sciencedirect

22 Pediatric Pathology 1 Autosomal Recessive Polycystic Kidney Disease Childhood Pathology Core Pictures

22 Pediatric Pathology 1 Autosomal Recessive Polycystic Kidney Disease Childhood Pathology Core Pictures

Renal Cell Carcinoma In A Cat With Polycystic Kidney Disease Undergoing Renal Transplantation

Renal Cell Carcinoma In A Cat With Polycystic Kidney Disease Undergoing Renal Transplantation

Jci Functional Polycystin 1 Dosage Governs Autosomal Dominant Polycystic Kidney Disease Severity

Jci Functional Polycystin 1 Dosage Governs Autosomal Dominant Polycystic Kidney Disease Severity

Histopathology Of Cystic Renal Diseases In The Ferret A Normal Download Scientific Diagram

Histopathology Of Cystic Renal Diseases In The Ferret A Normal Download Scientific Diagram

Macrophages Promote Polycystic Kidney Disease Progression Kidney International

Macrophages Promote Polycystic Kidney Disease Progression Kidney International

Jci Functional Polycystin 1 Dosage Governs Autosomal Dominant Polycystic Kidney Disease Severity

Jci Functional Polycystin 1 Dosage Governs Autosomal Dominant Polycystic Kidney Disease Severity

Https Journals Sagepub Com Doi Pdf 10 1177 2374289520939257

Https Journals Sagepub Com Doi Pdf 10 1177 2374289520939257

Scielo Brasil A Teenage Patient With Autosomal Recessive Polycystic Kidney Disease A Splenorenal Shunt And Congenital Hepatic Fibrosis A Case Report A Teenage Patient With Autosomal Recessive Polycystic Kidney Disease

Scielo Brasil A Teenage Patient With Autosomal Recessive Polycystic Kidney Disease A Splenorenal Shunt And Congenital Hepatic Fibrosis A Case Report A Teenage Patient With Autosomal Recessive Polycystic Kidney Disease

Https Encrypted Tbn0 Gstatic Com Images Q Tbn And9gcqoygoc1rhxfyap8epc5zqj4pnbala2hoocuiiqjyzfolpr8ege Usqp Cau

Https Encrypted Tbn0 Gstatic Com Images Q Tbn And9gcqoygoc1rhxfyap8epc5zqj4pnbala2hoocuiiqjyzfolpr8ege Usqp Cau

Autosomal Recessive Polycystic Kidney Disease Radiologic Pathologic Correlation Radiographics

Autosomal Recessive Polycystic Kidney Disease Radiologic Pathologic Correlation Radiographics

Pathology Outlines Polycystic Liver Disease

Pathology Outlines Polycystic Liver Disease

Gross And Microscopic Pictures Of Adpkd Arpkd And Mcdk A Left Download Scientific Diagram

Gross And Microscopic Pictures Of Adpkd Arpkd And Mcdk A Left Download Scientific Diagram

Pkd1 Associated Autosomal Dominant Polycystic Kidney Disease With Glomerular Cysts Presenting With Nephrotic Syndrome Caused By Focal Segmental Glomerulosclerosis Bmc Nephrology Full Text

Pkd1 Associated Autosomal Dominant Polycystic Kidney Disease With Glomerular Cysts Presenting With Nephrotic Syndrome Caused By Focal Segmental Glomerulosclerosis Bmc Nephrology Full Text

A A Representative Example Of A Polycystic Kidney Composed Of Cysts Download Scientific Diagram

A A Representative Example Of A Polycystic Kidney Composed Of Cysts Download Scientific Diagram

Tesevatinib Ameliorates Progression Of Polycystic Kidney Disease In Rodent Models Of Autosomal Recessive Polycystic Kidney Disease

Tesevatinib Ameliorates Progression Of Polycystic Kidney Disease In Rodent Models Of Autosomal Recessive Polycystic Kidney Disease

Gross Pathology American Society Of Pediatric Nephrology Aspn

Gross Pathology American Society Of Pediatric Nephrology Aspn

Duke Pathology Week 6 Genetic Disorders

Duke Pathology Week 6 Genetic Disorders

Afip Vet Path Home Page

Afip Vet Path Home Page

Scielo Brasil Cyst Infection In Hospital Admitted Autosomal Dominant Polycystic Kidney Disease Patients Is Predominantly Multifocal And Associated With Kidney And Liver Volume Cyst Infection In Hospital Admitted Autosomal Dominant Polycystic Kidney

Scielo Brasil Cyst Infection In Hospital Admitted Autosomal Dominant Polycystic Kidney Disease Patients Is Predominantly Multifocal And Associated With Kidney And Liver Volume Cyst Infection In Hospital Admitted Autosomal Dominant Polycystic Kidney

Adult Polycystic Kidney Disease American Urological Association

Adult Polycystic Kidney Disease American Urological Association

Autosomal Recessive Polycystic Kidney Disease Arpkd Pathology Residency And Fellowship Program Brown University

Autosomal Recessive Polycystic Kidney Disease Arpkd Pathology Residency And Fellowship Program Brown University

Journal Of Pathology And Translational Medicine

Journal Of Pathology And Translational Medicine

Research Images Thomas Weimbs Lab Uc Santa Barbara

Research Images Thomas Weimbs Lab Uc Santa Barbara

Detected Renal Cysts Are Tips Of The Iceberg In Adults With Adpkd American Society Of Nephrology

Detected Renal Cysts Are Tips Of The Iceberg In Adults With Adpkd American Society Of Nephrology

Clear Cell Tubopapillary Renal Cell Carcinoma Mimicking Polycystic Kidney Disease A Case Report Sciencedirect

Clear Cell Tubopapillary Renal Cell Carcinoma Mimicking Polycystic Kidney Disease A Case Report Sciencedirect

Molecular Cytogenetic Aberrations In Autosomal Dominant Polycystic Kidney Disease Tissue American Society Of Nephrology

Molecular Cytogenetic Aberrations In Autosomal Dominant Polycystic Kidney Disease Tissue American Society Of Nephrology

Cells Free Full Text Effect Of Reducing Ataxia Telangiectasia Mutated Atm In Experimental Autosomal Dominant Polycystic Kidney Disease Html

Cells Free Full Text Effect Of Reducing Ataxia Telangiectasia Mutated Atm In Experimental Autosomal Dominant Polycystic Kidney Disease Html

A Review On Autosomal Dominant Tubulointerstitial Kidney Disease Nefrologia

A Review On Autosomal Dominant Tubulointerstitial Kidney Disease Nefrologia

Atubular Glomeruli In A Rat Model Of Polycystic Kidney Disease Kidney International

Atubular Glomeruli In A Rat Model Of Polycystic Kidney Disease Kidney International

Polycystic Kidney In A Pig Sesc Historial De Consultes

Polycystic Kidney In A Pig Sesc Historial De Consultes

Polycystic Kidney Disease Concurrent With Feline Parvovirus And Bacterial Infections In Domestic Shorthair Cat A Case Report Springerlink

Polycystic Kidney Disease Concurrent With Feline Parvovirus And Bacterial Infections In Domestic Shorthair Cat A Case Report Springerlink

Autosomal Dominant Polycystic Kidney Disease Radiology Reference Article Radiopaedia Org

Autosomal Dominant Polycystic Kidney Disease Radiology Reference Article Radiopaedia Org

Polycystic Kidney Disease Wikipedia

Polycystic Kidney Disease Wikipedia

Https Encrypted Tbn0 Gstatic Com Images Q Tbn And9gcqgkryoxsyzqj3lxyynvjyongucm98fk4isxlysx5wabdau2mxj Usqp Cau

Https Encrypted Tbn0 Gstatic Com Images Q Tbn And9gcqgkryoxsyzqj3lxyynvjyongucm98fk4isxlysx5wabdau2mxj Usqp Cau

ARPKD is relatively uncommon and occurs primarily in neonates and children.

PKD2 gene on 4q13-23 altered in 10 of cases produces polycystin 2. Polycystic Kidney disease 1. Renal histology in polycystic kidney disease with incipient and advanced renal failure. Polycystic kidney disease PKD a common genetic cause of chronic renal failure is characterized by accumulation of fluid filled cysts in the kidney and other organs. Autosomal dominant polycystic kidney disease ADPKD is a multisystemic and progressive disorder characterized by cyst formation and enlargement in the. Numerous and are fluid-filled resulting in massive enlargement of the kidneys. Polycystic kidney disease typically refers to one of the following. Renal specimens were obtained at surgery or postmortem from patients with autosomal dominant polycystic kidney disease ADPKD. Polycystic kidney disease abbreviated PKD may refer to a number of conditions in the kidney characterized by cysts.


Numerous and are fluid-filled resulting in massive enlargement of the kidneys. It is associated with large interfamilial and intrafamilial variability which can be explained to a large extent by. From Wikipedia the free encyclopedia Autosomal dominant polycystic kidney disease ADPKD is the most prevalent potentially lethal monogenic human disorder. Patients had either serum creatinine S below 350 molliter N 12 or terminal renal failure N 50. Renal specimens were obtained at surgery or postmortem from patients with autosomal dominant polycystic kidney disease ADPKD. Patients had either serum creatinine S C r below 350 µmolliter N 12 or terminal renal failure N 50. Polycystic Kidney disease 1.

Posting Komentar untuk "Polycystic Kidney Disease Histology"